This is it....

Discussion in 'Off-Topic Discussion' started by Kandy, Feb 9, 2017.

  1. Upsydaisy

    Upsydaisy Total Gardener

    Joined:
    Apr 26, 2017
    Messages:
    17,442
    Gender:
    Female
    Occupation:
    Living in hope of world wide peace.
    Location:
    Hampshire. Zone 8b
    Ratings:
    +54,392
    That's brilliant news Kandy, doesn't it feel weird walking without ' the shoe '!

    :snorky::snorky:..I took photos of my foot as well.........
    And I wore my fluffy socks too as I couldn't get slippers on either!:dbgrtmb:

    Even now my toes feel numb and a bit strange , but from past experience I know that it will pass in time.

    Not too sure about trying to squeeze your foot into enclosed shoes......sounds like torture:sad: :ouch1:!! I wore my walking sandals after both of my surgeries....... couldn't get even close to getting enclosed shoes on for quite a while, thankfully I never encountered any problems.

    Enjoy your shower, I'm afraid I didn't follow that instruction and had my first post op shower 3 days after my surgery.wrapped cling film around my whole foot.... including ' shoe ' then a black bin liner for double safety ........what a palaver each time.....
    but well worth it in the end :):)..

    Wishing you a continuing smooth road to full recovery.
     
    • Like Like x 2
    • Kandy

      Kandy Will be glad to see the sun again soon.....

      Joined:
      Apr 23, 2006
      Messages:
      11,465
      Occupation:
      Head gardener
      Location:
      In the Middle Of Blighty
      Ratings:
      +6,543
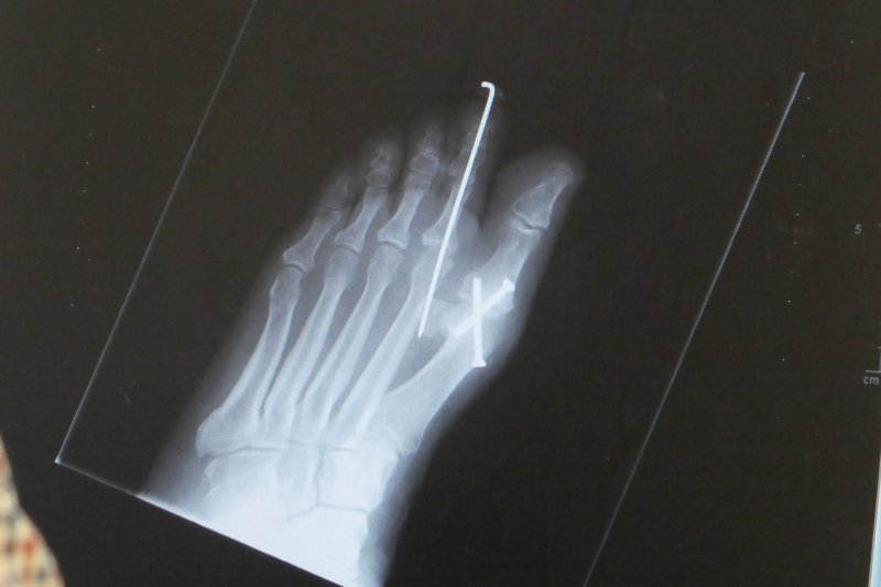
      P1100656.JPG IMG_0630.JPG @Upsydaisy I was surprised when this surgeon said to me that I can't wear my sandals as I thought that with the Velcro fastenings they would be better than lace up trainers and shoes.Tomorrow I am going to have a bath as I don't think I am going to be able to stand up in the shower as my foot is still quiet painful and the whole foot is puffed up.:sad: I didn't dare try and wrap my foot in cling film or dustbin bags because knowing my luck water what have got in and soaked the dressings:biggrin:

      I wear cloggies when I go round the garden,they are the same as crocks but without the holes and the strap at the back.I started wearing Cloggies long before there were crocks and people on the caravan sites used to laugh at my bright colours but they were nice and wide to accommodate my widening feet,and still I didn't care what others thought and the last few years they were all the rage with a lot of people wearing them:biggrin:

      Yes the foot looks terrible with all the dry skin and the top part is a darker colour and I will never be able to bend the big toe with the two screws in it so will have to learn to walk differently:sad:

      I am so looking forward to getting outside in the fresh air and we have already got one holiday booked and we have asked for a caravan pitch to be reserved near the shower block so I don't have too far to walk each morning.We are planning railway trips so we can get out and about without me having to walk to far and will be driving around the slate valleys and enjoying the scenery.:biggrin:

      Hope your day has been good and you have recovered well from your surgeries:smile:
       
    • Upsydaisy

      Upsydaisy Total Gardener

      Joined:
      Apr 26, 2017
      Messages:
      17,442
      Gender:
      Female
      Occupation:
      Living in hope of world wide peace.
      Location:
      Hampshire. Zone 8b
      Ratings:
      +54,392
      Thanks for replying:)

      I wear croc type shoes ...and have a wide range of colours too:snork: They are very comfy.

      Yes having the big toe fused does make a difference to your gait and I have really noticed it more so now that both feet have been done.....BUT...you will soon adapt to it and now ( I think) apart from the odd bad day or after along walk i would say that nobody would be able to tell that both are fused:hapydancsmil::hapfeet:!! You'll soon forget about your feet and it will become your natural way of walking:dbgrtmb:

      Have you had to have both feet done too?

      I have another hosp check-up next wk... it's now 5mths since my last surgery so hopefully it will be my last:)

      Take it slowly and you will get there:):)
       
      • Like Like x 1
      • Friendly Friendly x 1
      • shiney

        shiney President, Grumpy Old Men's Club Staff Member

        Joined:
        Jul 3, 2006
        Messages:
        67,253
        Gender:
        Male
        Occupation:
        Retired - Last Century!!!
        Location:
        Herts/Essex border. Zone 8b
        Ratings:
        +134,064
        Sorry, I'm a bit late with this but I'd think twice about having a bath. If you're having trouble standing then you may find it difficult getting in and out of the bath as you will have to put pressure on it.

        The better way is to put a stool in the shower so that you can sit whilst you wash. :dbgrtmb:
         
        • Like Like x 1
        • Agree Agree x 1
        • Upsydaisy

          Upsydaisy Total Gardener

          Joined:
          Apr 26, 2017
          Messages:
          17,442
          Gender:
          Female
          Occupation:
          Living in hope of world wide peace.
          Location:
          Hampshire. Zone 8b
          Ratings:
          +54,392
          Agree with you shiney, I should have said the same . For some reason I thought that Kandy only had a bath. I took a plastic garden chair with me in the shower at first until I felt confident to stand.......also never lock the door.:dbgrtmb:
           
          • Like Like x 1
          • shiney

            shiney President, Grumpy Old Men's Club Staff Member

            Joined:
            Jul 3, 2006
            Messages:
            67,253
            Gender:
            Male
            Occupation:
            Retired - Last Century!!!
            Location:
            Herts/Essex border. Zone 8b
            Ratings:
            +134,064
            Agreed. :dbgrtmb: :)
             
            • Like Like x 1
            • Kandy

              Kandy Will be glad to see the sun again soon.....

              Joined:
              Apr 23, 2006
              Messages:
              11,465
              Occupation:
              Head gardener
              Location:
              In the Middle Of Blighty
              Ratings:
              +6,543
              Sorry to say @shiney and @Upsydaisy that I had already taken a bath before you both posted.The bath was ok but I couldn't get out of it despite using the two grabber bits on each side of the bath so had to twist and turn until I could get myself up properly.I couldn't even call Mr Kandy as I had shut the bathroom door (didn't lock it)to keep the heat in and he was in the lounge watching this he telly:snorky:

              Anyway since then have been showering which has been better and it has allowed me to wash the poorly toes:biggrin:

              I have been finding though that I can only do work round the house and garden for around 30-45 minutes before the foot starts hurting so I have to come back indoors to elevate it until the swelling comes back down:sad:

              Mr Kandy is still doing the ironing and I am now back to doing most of the cooking and housework.I wasn't happy with the ten minute speed he got the dusting done throughout the house the other week so would rather do it myself:biggrin:

              I have Just cleaned out the downstairs cloakroom as it is too wet to do much else so am now resting:biggrin:

              Was looking forward to going and getting my hair cut today as it hasn't been done for eight weeks and I am starting to look like a troll but I can't face walking from the car park to where we get it cut and I will be like a drowned rat as I can't walk very fast at the moment:sad:

              Hope you are getting on @Upsydaisy with your feet now:thumbsup:
               
              • Friendly Friendly x 1
              • Upsydaisy

                Upsydaisy Total Gardener

                Joined:
                Apr 26, 2017
                Messages:
                17,442
                Gender:
                Female
                Occupation:
                Living in hope of world wide peace.
                Location:
                Hampshire. Zone 8b
                Ratings:
                +54,392
                Update time Kandy please , how are you doing?

                Had my final checkup and yet another xray earlier this week and all was good. He was amazed at the amount of walking I am doing and had the cheek to do a re-check on my age!!!!!! :thud::heehee:
                 
                • Funny Funny x 1
                • Upsydaisy

                  Upsydaisy Total Gardener

                  Joined:
                  Apr 26, 2017
                  Messages:
                  17,442
                  Gender:
                  Female
                  Occupation:
                  Living in hope of world wide peace.
                  Location:
                  Hampshire. Zone 8b
                  Ratings:
                  +54,392
                  Oops you beat me too it Kandy:snorky:
                   
                  • Funny Funny x 1
                  • shiney

                    shiney President, Grumpy Old Men's Club Staff Member

                    Joined:
                    Jul 3, 2006
                    Messages:
                    67,253
                    Gender:
                    Male
                    Occupation:
                    Retired - Last Century!!!
                    Location:
                    Herts/Essex border. Zone 8b
                    Ratings:
                    +134,064
                    Sorry! I don't understand that word. :dunno: :whistle:
                     
                    • Funny Funny x 3
                    • Kandy

                      Kandy Will be glad to see the sun again soon.....

                      Joined:
                      Apr 23, 2006
                      Messages:
                      11,465
                      Occupation:
                      Head gardener
                      Location:
                      In the Middle Of Blighty
                      Ratings:
                      +6,543
                      IMG_0647.JPG Hi @Upsydaisy glad that you have been signed off and all is well:blue thumb:

                      I was given an appointment for five months time so I expect they will sign me off when I go back in October.Dont know whether they will X-ray it as they have moved over to where I had the op done for the X-rays and that is a good 45minutes from where I live:sad:

                      I haven't done any walking apart from round to our back garden and out the front.I desperately want to walk further but can't do it yet:sad: last evening I felt a jabbing pain in my toe as if my toe was being stabbed by a needle and was worried in case the screws were doing it under the skin:gaah:

                      I have only had the left toes done as the right bunion is only moderate and there is no Arthritis in any of the other toes although the big toe locks up when I was able to walk six/seven miles a day and I don't fancy being stuck indoors again for another six weeks.I am still feeling very down after just having the first foot done as I never ever dreamed that I would be so incapacitated as that just isn't me and I have also put weight on because i am so slow and can't exercise like before:mad:

                      I also need to have work done on my nails but my usual Podiatrist has now retired and I can't do them myself so I think that task is going to have to fall to Mr Kandy,but he is a bit heavy handed:mute:
                       
                      • Friendly Friendly x 1
                      • Upsydaisy

                        Upsydaisy Total Gardener

                        Joined:
                        Apr 26, 2017
                        Messages:
                        17,442
                        Gender:
                        Female
                        Occupation:
                        Living in hope of world wide peace.
                        Location:
                        Hampshire. Zone 8b
                        Ratings:
                        +54,392
                        Yes Kandy you will get aching pains for a while , on and off for about 12/ 18 months post surgery. I had a good walk ,about 5 miles, on Wednesday and am still a little achy . I am working today so at least I'm not in the garden rushing about watering sad looking plants:)

                        I use to be a hairdresser years ago now.and if we had a poorly or housebound client we would attend to them in their own homes, might be worth a phone call to see if they offer the same service.
                         
                        • Like Like x 1
                        • Informative Informative x 1
                        • Upsydaisy

                          Upsydaisy Total Gardener

                          Joined:
                          Apr 26, 2017
                          Messages:
                          17,442
                          Gender:
                          Female
                          Occupation:
                          Living in hope of world wide peace.
                          Location:
                          Hampshire. Zone 8b
                          Ratings:
                          +54,392
                          I know how you must be feeling Kandy, it was a shock to me at just how incapacitating the surgery was when I had my first foot done:frown:

                          I promise you that you will get there, just go with your body and if it complains then stop.

                          Don't fret over any weight gain it's too be expected , once your back up and running it will drop off.:hapfeet::hapfeet:

                          Try and keep positive and focus on the coming summer months and your holiday
                          :hapflowers2:
                           
                          • Like Like x 2
                            Last edited: May 12, 2017
                          • Upsydaisy

                            Upsydaisy Total Gardener

                            Joined:
                            Apr 26, 2017
                            Messages:
                            17,442
                            Gender:
                            Female
                            Occupation:
                            Living in hope of world wide peace.
                            Location:
                            Hampshire. Zone 8b
                            Ratings:
                            +54,392
                            Hi there @Kandy , how are you doing ?
                             
                            • Agree Agree x 1
                            • Kandy

                              Kandy Will be glad to see the sun again soon.....

                              Joined:
                              Apr 23, 2006
                              Messages:
                              11,465
                              Occupation:
                              Head gardener
                              Location:
                              In the Middle Of Blighty
                              Ratings:
                              +6,543
                              IMG_0696.JPG Sorry @Upsydaisy for the delay again in replying but we went away for what should have been a weeks holiday up in Snowdonia but as we were enjoying it so much we asked the Wardens on the site if we could stay for another week and after checking we had the last available pitch so we just stayed where we were for the whole two weeks as the pitch was near to the toilet block so I didn't have to walk too far:snorky:

                              On the Wednesday of the second week I noticed after I had been for my morning shower that the toe nail on what had been the hammer toe was turning to the left.Mr Kandy said it was fine so we went off and had a good day on the Welsh Highland Railway.:smile: That evening when we got back to the caravan I took off my sock and was shocked to see my toe quiet swollen:yikes:

                              As it was too late by then I had to ring round the next morning to all the Dr's practises to see if I could get a Dr to look at it.I was told I would need to go and register at a Dr's six miles from us so off we went.I had to register with the practise and then sat for fifty minutes before I was seen by a very nice young Dr.I explained everything to him and on examining the toe agreed with me that I had got an infection somehow in it:yikes: Anyway,I have ended up on another lot of Flucloxacillian for a week which I have now finished and although it has cleared up the infection my toe is still a bit swollen.I keep saying to Mr Kandy that I ought to ring the hospital to get someone to look at it but he keeps telling me not to be impatient but I am not happy as it still doesn't look right:cry3:.I think the surgeon does the ops on Tuesdays so I might ring tomorrow and see if they can fit me in this week.I think I shall end up losing the toe nail as it is lifting away from the nail bed:sad:

                              Since we have been back we have been trying to catch up on everything which goes with having a holiday.If I left Mr Kandy to do the holiday ironing it would take him a month so much quicker if I do it,but he did clean out,dust and hoover the van out when we got back:yes:

                              Hope you are getting on a bit better and managing to take it easy now and again.I did a bit of a workout on my trampet this morning and now my foot is swollen so going to have to rest again me thinks:sad:
                               
                              • Friendly Friendly x 3
                                Last edited: Jun 6, 2017

                              Share This Page

                              1. This site uses cookies to help personalise content, tailor your experience and to keep you logged in if you register.
                                By continuing to use this site, you are consenting to our use of cookies.
                                Dismiss Notice